阳光讯(记者 郑亚雷)春节期间,当千家万户沉浸在辞旧迎新的欢乐氛围中时,西安交通大学第二附属医院(交大二附院)血管外科的医护人员们依然坚守岗位,成功救治了多例急性动脉栓塞患者,用实际行动守护了患者的生命健康,展现了医护人员的责任与担当。
春节期间,交大二附院血管外科接收了来自陕西省内各地区的6例急性下肢动脉闭塞患者。这些患者情况危急,需要立即进行救治。为了保障患者的生命安全,血管外科开通了绿色通道,迅速组织专业团队进行急诊救治。

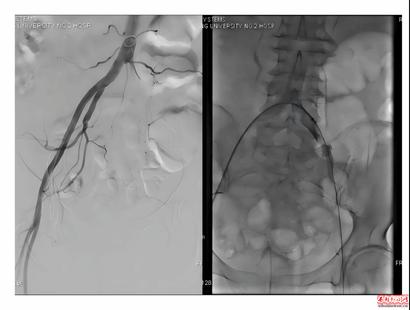
其中,一名来自陕北榆林的患者因房颤引发下肢急性动脉栓塞,情况尤为严重。该患者在当地医院就诊时被建议“截肢保命”,但患者及家属为了寻求更好的治疗效果,选择转诊至交大二附院。患者到达医院时,已出现腹痛伴下肢疼痛、左下肢青紫、肢体冰凉等症状,且处于失语状态,病情十分危急。

面对如此复杂特殊的病例,血管外科主任马建仓迅速调度专业团队,从多个维度进行多学科评估,最终制定了适合患者的最优救治方案。经过3小时的急诊手术,医生成功开通了患者闭塞的动脉,恢复了下肢的血供。术中造影发现,患者左侧髂动脉、股动脉、腘动脉均充满血栓,医生通过机械抽栓技术和球囊扩张成形术,成功取出了大量血栓,并恢复了患肢的血流供应。
然而,由于患者病情复杂且基础疾病众多,术后出现了循环不稳定、胸腔积液、肾功能不全等多种并发症。血管外科团队放弃了假期,全力救治患者,与多学科专家联合会诊,制定了详细的术后管理方案,并采取了持续血液净化、胸腔穿刺放胸水、抗凝、抗感染治疗及营养支持等综合救治措施。经过八天的紧急救治,患者的下肢温度逐渐回升,疼痛感明显缓解,避免了因急性缺血导致的肢体坏死和截肢风险。目前,患者生命体征趋于平稳,肾功能也逐渐恢复,并已康复出院。

此次成功救治不仅体现了交大二附院多学科协作的高效性,也展现了医护人员在危重症救治中的专业水平和责任担当。交大二附院血管外科将继续秉持专业、高效、负责的态度,为广大患者的健康保驾护航。

马建仓主任提醒,急性下肢动脉闭塞是一种严重的血管疾病,常见症状包括下肢麻木、疼痛、无脉、缺血性苍白等。一旦发现类似症状,应及时就医,以免延误病情,造成不可逆的后果。









